El secreto de tus ojos.
Lo vi con mis propios ojos, ver
para creer, testigo ocular…todas estas frases señalan la confianza que depositamos en la
información  que recogemos por medio de
la visión. 
Sin embargo ya en la antigüedad se
conocían los trompe l´ oeil, que
revestían una pared o un techo con deslumbrantes paisajes y las ilusiones
ópticas que nos entretenían en nuestra infancia.
Más allá de las patologías orgánicas hay
una serie de elementos que interfieren
en cualquier parte del proceso de la visión, desde el momento en que se enfoca
la mirada en un objeto hasta el procesamiento a nivel cerebral. 
El problema radica en que siendo mecanismos inconscientes y al no estar prevenidos podemos cometer un error de consecuencias graves sin explicación plausible.
De ahi que sea necesario conocer su existencia, las circusntancias en que pueden aparecer para estar alerta.
Una lista de las más conocidas:  
- Ceguera de la atención: un fenómeno bien conocido, responsable de numerosos incidentes en la seguridad del paciente. Quien realiza una tarea no percibe algo que es claramente visible y después no puede explicarlo .La enfermera que toma un medicamento equivocado y lo administra es el ejemplo más conocido: “estaba segura que leí el rotulo y era el correcto…pero después vi que no era así”
        Es un lapso en la atención que todos
hemos experimentado más de una vez, en la              vida cotidiana  generalmente sin consecuencias graves.
- Ceguera al cambio se produce cuando el observador no puede detectar un cambio introducido en el estímulo visual. Generalmente la atención está fijada en una parte de la imagen y el fondo generalmente puede sufrir cambios que pasan inadvertidos. Se observó que en el cine: los espectadores atentos a los personajes no notaban el cambio en el escenario.
- Reconocimiento en base a patrones previos
- Fallas en la percepción por estar atentos a otro estimulo
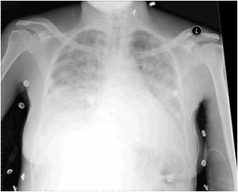
       Los técnicos que vieron esta RX no advirtieron la existencia de un tutor metálico            que habia quedado en el torax atentos a la patología de base.
- Busqueda satisfecha
- Representa una de las CDR (Cognitive Dispositions to Respond) mecanismo mental por lo cual una vez encontrado un elemento se abandona la búsqueda dejando sin reconocer otro (fracturas, cuerpos extraños).
- Factores extrisecos
Es obvio que
las distracciones, las interrupciones tienen un papel fundamental en la tarea
del especialista..que no siempre es respetada como debería.
Especialidades donde estos factores cobran mayor importancia
Estos
problemas en la percepción pueden determinar errores con implicancias medico legales
y son los radiólogos
quienes más se han preocupado por este tema lo, que  ha derivado
en la formación de una sociedad : MIPS (Medical Image Perception Society) 
Leonard Berlin experto radiólogo,
dedicado al estudio de las implicancias médico legales ha sugerido que en los
juicios por mala praxis los jueces deberían instruir al jurado acerca de que”
“existe un factor humano absolutamente
inevitable que se encuentra en el examen de las rx, por el cual algunas
anomalías pueden no ser vistas, aun aquellas que parecen ser obvias. El mero
hecho de que un radiólogo no perciba una lesión no implica que haya cometido
mala praxis si bien no todas las fallas son excusables,
Los errores en la percepción se
presentan cuando el radiólogo diligentemente revisa una RX, sigue todos los
procedimientos indicados usa todas las técnicas correctas y falla en la
percepción de una anormalidad que en retrospectiva es claramente visible
Esto ha llevado a un profundo estudio
del mecanismo de la visión controlando la duración de la mirada, la duración y
numero de la fijación de la mirada, usando sofisticadas técnicas .Aparentemente
la atención prolongada (persistencia de la mirada)en una zona especifica de la
RX aumenta los falsos positivos y los falsos negativos. Mirar por menos de 4
segundos también aumenta el número de errores
Citamos algunos aportes de MIPS acerca de las conclusiones que arrojan algunos estudios:” El brillo de la imagen puede
estar degradado por lo que denominan ruido ( film grain y  quantum mottle)
especialmente importante en las nuevas modalidades digitales. La mayor parte de
las investigaciones en  la percepción
usan estímulos visuales que no han sido degradados por el ruido”
Los anatomo
patólogos por su parte tienen áreas de muy difícil diagnóstico. Sobre un estudio del departamento de anatomía
patológica del Johns Hopkins Hospital, la American Society
of Clinical Pathologists encontró
una discrepancia en la segunda opinión del 1,4 % de los casos. El estudio de algunos tejidos es particularmente dificultoso como son
los linfomas y sarcomas donde la diferencia entre la primera y segunda opinión
fue del 20% - 25%.Mucho mas compleja es
la citología la observación se fija en la sola presencia de las células. 
En el
caso del carcinoma intra ductal incipiente el diagnóstico citológico es un área
de  especial dificultad. El 17 % de estas
lesiones han sido incorrectamente diagnosticadas lo que dio lugar a denuncias
de mala praxis por parte de pacientes que fueron operadas.
La cirugía laparoscópica presenta el riego de las lesiones en las vías biliares, atribuidas
generalmente  a falta de experiencia del
operador.
El análisis realizado por Way  que puede leerse en este link(http://www.ncbi.nlm.nih.gov/pmc/articles/PMC1514483/)
analiza las fallas perceptuales y la parte que le corresponde al proceso de la
información recibida en la identificación de las estructuras anatómicas, 
Es difícil que ante una hecho
adverso , muchas veces con resultados graves estos factores  sean tenidos en cuenta por lo que conocerlos
es también una manera de estar atentos en su prevención. 




 
No hay comentarios:
Publicar un comentario